Determinazione di ALK: tra biopsia liquida e tissutale. Tecniche a confronto ed efficacia di alectinib
in un caso clinico controverso

Diego Cortinovis1, Federica Migliorati2, Fabio Pagni2

1ASST Ospedale San Gerardo, Monza; 2Dipartimento di Medicina e Chirurgia, Università Milano Bicocca.

Pervenuto il 15 giugno 2020. Accettato il 17 giugno 2020.

Riassunto. La metodologia next generation sequencing (NGS) applicata alla biopsia liquida è tecnica utile per poter determinare il corretto assetto biomolecolare della popolazione neoplastica prevalente. La sensibilità della metodica per quanto riguarda ALK ha rilevanza clinica in quanto i dati di efficacia farmacologica sono comparabili rispetto alla positività emersa dalla biopsia tissutale. Il tumore polmonare ALK+ presenta oggi un numero elevato di opportunità terapeutiche che comportano un incremento della sopravvivenza. La valutazione corretta della traslocazione è di fondamentale importanza per poter indirizzare la corretta strategia terapeutica, come illustrato nel presente caso clinico.

Parole chiave. Alectinib, ALK, biopsia liquida, crizotinib, FISH inibitori delle tirosin chinasi, mutazioni driver, NSCLC, sequenziamento genico, terapia a bersaglio molecolare, TKI.

ALK determination: liquid and tissue biopsy. Comparing techniques and effectiveness of alectinib in a controversial clinical case.

Summary. The next generation sequencing (NGS) applied to liquid biopsy is useful to determine the biomolecular identity of the prevalent neoplastic cell population. The sensitivity of ALK detection in liquid biopsy is comparable to that showed by the gold standard tissue biopsy and its usefulness is demonstrated in clinical practice by the similar efficacy of ALK TKIs to obtain prolonged disease control. ALK ve+ lung cancer today presents a large number of therapeutic opportunities leading to a long/term survival. Correct evaluation of ALK translocation is a paramount in order to guide the correct therapeutic strategy as illustrated in the present clinical case.

Key words. Alectinib, ALK, crizotinib, driver mutations, FISH, liquid biopsy, NGS, NSCLC, target therapy, TKI, tyrosin kinase inhibitors.

Introduzione

I test di biologia molecolare sono fondamentali per il management clinico-oncologico dei pazienti con carcinoma polmonare non a piccole cellule (non-small-cell lung cancer - NSCLC): negli ultimi 15 anni sono stati identificati bersagli molecolari multipli come mutazioni puntiformi nei geni EGFR, KRAS, BRAF, PI3K e riarrangiamenti in geni quali ALK (anaplastic lymphoma kinase), ROS1 e MET1,2, che, se presenti, permettono di trattare il paziente con inibitori delle tirosin-chinasi (TKI) tra cui crizotinib e alectinib. Questi farmaci bloccano le vie metaboliche rese costitutivamente attive dai driver oncogenici e riducono la velocità di crescita della neoplasia.

In particolare, la traslocazione di ALK è ormai stata riconosciuta come un driver oncogenico di importanza basilare nel trattamento del NSCLC, sin da quando crizotinib, primo anti-ALK, aveva dimostrato la sua efficacia3. Si è compreso che per i NSCLC con riarrangiamento del gene ALK (3-7% dei casi totali, per la maggior parte adenocarcinomi insorti in giovani non fumatori)4, il trattamento mirato anti-ALK già a partire dalla prima linea è superiore rispetto alla chemioterapia tradizionale5 e farmaci di seconda-terza generazione, tra cui alectinib, sono stati introdotti con incremento clinicamente significativo del controllo di malattia6.

L’attuale strategia terapeutica prevede pertanto una sequenza di inibitori di ALK di diversa generazione che, partendo da alectinib, cercano di ridurre la velocità di crescita della neoplasia affrontando, laddove possibile, il meccanismo di resistenza biomolecolare sottostante.

Grazie a questa strategia è oggi possibile stimare che la sopravvivenza globale sia quattro volte maggiore rispetto a una popolazione “wild-type” per ALK e che anche la presenza di metastasi cerebrali, normalmente sede di malattia prognosticamente sfavorevole, non determina una caratterizzazione negativa in termini di sopravvivenza7.

Il punto fondamentale è pertanto la corretta caratterizzazione biomolecolare del paziente e il rilievo della traslocazione di ALK già al momento della prima diagnosi di NSCLC.

Numerose sono le tecniche impiegate: dall’immunoistochimica (IHC), all’ibridazione in situ con fluorescenza (FISH), al sequenziamento genico con tecniche di next generation sequencing (NGS) su tessuto e su plasma.

Descriveremo il caso clinico di una giovane paziente affetta da adenocarcinoma al IV stadio clinico nel quale la detezione del riarrangiamento di ALK come mutazione “driver” venne evidenziato grazie a un approccio combinato di NGS su plasma e tessuto. Il presente caso clinico sottolinea l’impatto che le nuove tecnologie biomolecolari, integrate nel percorso patologico tradizionale, riescono a portare nel workflow operativo e terapeutico del paziente con NSCLC.

Caso clinico

Nel giugno 2019 una donna di 43 anni in condizioni generali compatibili con Performance Status 0 secondo Eastern Cooperative Oncology Group (ECOG), non fumatrice, si presenta in ambulatorio di Oncologia per eseguire una prima visita a seguito di un episodio di emottisi. Una RX torace dimostrava la presenza di un’opacità centrale destra. Una successiva TC toracica confermava la presenza di un addensamento polmonare al lobo medio, adenopatie mediastiniche e ilari omolaterali e una sospetta linfangite neoplastica. Veniva conclusa la stadiazione strumentale con PET total-body che documentava un interessamento linfonodale ad alcune stazioni N3 tra cui la sede retroclaveare, paraortica e latero-cervicale.










Infine una TC encefalica escludeva secondarismi a questo livello (figura 1).

Si concludeva per uno stadio clinico cT2N3M1a.

In seguito a discussione multidisciplinare si decideva di asportare chirurgicamente l’adenopatia latero-cervicale destra. Una scelta fatta al fine di ottenere il materiale più adeguato in termini di quantità e qualità con lo scopo di determinare la presenza di alterazioni biomolecolari utili alla definizione della corretta strategia terapeutica.

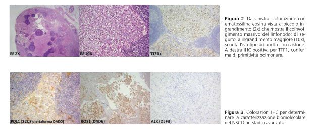
L’esame istologico risultava positivo per una localizzazione metastatica massiva da adenocarcinoma a crescita solida, con diffusi aspetti a cellule ad anello con castone (CK7+,TTF1+) coerente con primitività polmonare (figura 2).

Le colorazioni IHC effettuate sul materiale in esame mostravano positività per PDL1 (22C3 piattaforma Dako) con una reattività di membrana nel 50% degli elementi neoplastici; moderata e focalmente intensa reattività citoplasmatica (score 3) per ROS1 (clone D4D6); la colorazione per ALK (clone D5F3) dava esito negativo (figura 3).

Veniva allestito il materiale per la ricerca, mediante RT-PCR, di mutazioni del gene EGFR che poi si è rivelato essere in stato Wild Type.

In considerazione del dato in IHC di ROS1, si procedeva con la valutazione FISH, risultata negativa per riarrangiamenti coinvolgenti il gene.

Per completare e ampliare la valutazione di tipo genomico si decideva di arruolare la paziente nello studio clinico BFAST (Blood First Assay Screening Trial) che prevede una profilazione molecolare con tecniche di NGS su plasma (biopsia liquida) utilizzando FoundationOne®Liquid di Foundation Medicine8.

Sia il sequenziamento del sangue della paziente sia il test su campione tissutale mostravano fusione di ALK (EML4-ALK fusion); collateralmente si rilevano delle varianti di significato indeterminato a carico del gene VEGFA (R22W) e DDR2 (G137V).

In considerazione della discrepanza tra IHC e NGS veniva quindi eseguita metodica FISH con sonda break apart che confermava riarrangiamento di ALK nel 15% dei nuclei, limite inferiore di positività (figura 4).

Sulla base delle determinazioni eseguite, si attivava terapia medica con alectinib alla dose standard di 600 mg 2 volte al giorno con evidenza di risposta parziale di malattia secondo i criteri RECIST 1.1 dopo i primi 2 mesi di terapia.

Il trattamento proseguiva alla dose standard non evidenziandosi effetti collaterali di rilievo.

Una recente PET Total-body evidenziava un solo residuo metabolico di scarsa intensità a carico della lesione polmonare primitiva al lobo medio.

Per questa ragione, e alla luce dei dati emersi dalla strategia terapeutica legata a un consolidamento sulle sedi residue nella malattia oligometastatica, si è deciso di aggiungere un trattamento radiante attraverso stereo-body radiotherapy (SBRT) con una dose totale di 50Gy in 5 frazioni.

La prosecuzione della terapia con inibitore di ALK in associazione a questa ultima terapia ha comportato attualmente una remissione completa di malattia.

Discussione e conclusioni

L’opportunità di poter prescrivere farmaci a bersaglio biomolecolare ha portato nella pratica clinica la necessità di conoscere il profilo genetico del tumore: a oggi, il gold standard prevede l’utilizzo della biopsia tissutale9.

Tuttavia, come veniva segnalato in uno studio del 201710, è ancora possibile una certa discrepanza fra i vari centri nell’applicazione del co-testing dei diversi target molecolari che upfront andrebbero valutati alla prima diagnosi.

Questo dato è stato in parte recentemente superato dalla rimborsabilità dei farmaci anti-ALK, disponibili in Italia sin dalla prima linea.

Accanto a un problema di sensibilità medica, tuttavia, emergono alcuni dettagli legati alla tecnica normalmente impiegata per la valutazione di ALK.

Nella corrente pratica clinica si esegue uno screening immunoistochimico utilizzando anticorpi monoclonali; qualora avvenga la reazione antigene-anticorpo, si parla di IHC positiva (se score ≥2) e lo step successivo prevede l’esecuzione di metodica FISH confirmatoria, in modo da verificare l’effettiva presenza della traslocazione e candidare il paziente alla terapia di prima linea con TKI11.

L’immunoistochimica ha una specificità molto alta del 95%, a fronte di una sensibilità massima pari all’86% (D5F3)12. LA FISH è una metodica maggiormente complessa e costosa con risultati talvolta difficili da interpretare12.

La disponibilità di pannelli NGS offre l’opportunità, oltre che di testare target alternativi nei casi non oncogene-addicted, di riverificare il triage immunoistochimico. Le peculiarità del caso clinico (paziente giovane e non fumatrice) e il dato morfologico che è emerso dall’istologia (istotipo ad anello con castone) hanno indotto a dei supplementi di indagine che hanno messo in luce la presenza del riarrangiamento di ALK. Questo evento ha cambiato l’iter terapeutico della paziente: a fronte di marker predittivi negativi (ALK, ROS1, BRAF, EGFR WT) con espressione di PDL1 ≥50% la paziente sarebbe stata candidata a immunoterapia in prima linea con pembrolizumab (PFS-Progression Free Survival 10,3 mesi), più eventuale chemioterapia in seconda linea13; con la dimostrazione del riarrangiamento di ALK (presente anche su tessuto, come ha evidenziato la FISH), la paziente ha invece iniziato il trattamento con alectinib (PFS 34,8 mesi)6.

A oggi la Food and Drug Administration (FDA) ha approvato l’utilizzo routinario della biopsia liquida solo per ricercare mutazioni nel gene EGFR14, in particolare T790M, che permette di selezionare i pazienti candidabili a terapia di seconda linea con osimertinib.

Utilizzare il sangue dei pazienti al fine di ottenere informazioni sulla biologia del tumore potrebbe essere applicabile qualora il materiale ottenuto con biopsia tissutale non sia adeguato e sufficiente per indagare correttamente tutti i possibili marker molecolari15.

L’introduzione della biopsia liquida nella routine-practice potrebbe essere una soluzione anche durante il management del follow-up di casi selezionati e/o particolarmente difficili da gestire con approccio tissutale, a causa di impervietà anatomica o status generale del paziente16.

Nonostante i possibili vantaggi, ci sono anche delle limitazioni da valutare: non tutto il DNA libero circolante nel sangue (cfDNA-cell free DNA) appartiene al tumore; inoltre scindere il cfDNA dal ctDNA (ctDNA-circulating tumour DNA) è molto complesso perciò qualora si decidesse di utilizzare come screening genico unicamente la biopsia liquida senza eseguire test di conferma su tessuto, potrebbero esserci dei falsi positivi17,18.

Dall’altro lato ci sono alcuni tumori che rilasciano in circolo poco ctDNA19 non permettendo di individuare eventuali mutazioni driver ove presenti, portando a dei falsi negativi.

Attualmente l’esecuzione di NGS su biopsia liquida sembra incapace di sostituire completamente l’analisi su tessuto, indipendentemente dal gene in esame. Tuttavia, visti i risultati soddisfacenti avuti con EGFR e in un recente studio presentato all’ASCO annual meeting20, si può considerare l’utilizzo della biopsia liquida per integrare le informazioni ottenute da prelievo tissutale, soprattutto in particolari scenari clinici9, come quello descritto in questo case report. L’argomento è in rapida evoluzione, ma i dati retrospettivi attuali sembrano favorire un utilizzo sinergico di entrambe le metodiche, ove clinicamente possibile9.

Conflitto di interessi: DC ha ricoperto ruolo di Speaker Bureau/consultant per Roche, Roche Diagnostic, BMS, MSD, Boehringer Ingelheim, Amgen, Novartis, Astra Zeneca. Gli altri autori dichiarano l’assenza di conflitto di interessi.

Bibliografia

1. Ortiz-Cuaran S, Scheffler M, Plenker D, et al. Heterogeneus mechanisms of primary and acquired resistance to third-generation EGFR inhibitors. Clin Cancer Res 2016; 22: 4837-47.

2. Lovly C, Horn L, Pao W. Molecular profiling of lung cancer. My cancer genome. Disponibile su: https//www.mycancergenome.org/content/disease/lung-cancer (2016).

3. Shaw AT, Riely GJ, Bang Y-J, et al. Crizotinib in ROS1-rearranged advanced Non-Small-Cell Lung Cancer (NSCLC): updated results, including overall survival, from PROFILE 1001. Ann Oncol 2019; 30: 1121-6.

4. Wong DW, Leung EL, So KK, et al.; University of Hong Kong Lung Cancer Study Group. The EML4-ALK fusion gene is involved in various histologic types of lung cancers from nonsmokers with wild-type EGFR and KRAS. Cancer 2009; 115: 1723-33.

5. Solomon BJ, Kim DW, Wu YL, et al. Final overall survival analysis from a study comparing first-line crizotinib versus chemotherapy in ALK-mutation-positive non-small-cell lung cancer. J Clin Oncol 2018; 36: 2251-8.

6. Peter S, Camidge DR, Shaw AT, et al. Alectinib versus crizotinib in untreated ALK-Positive non-small-cell lung cancer. N Engl J Med 2017; 377: 829-38.

7. Gadgeel S, Peters S, Mok T, et al. Alectinib versus crizotinib in treatment-naive Anaplastic Lymphoma Kinase-Positive (ALK+) non-small-cell lung cancer: CNS efficacy results from the ALEX Study. Ann Oncol 2018; 29: 2214-22.

8. Mok TS, Gadgeel S, Kim ES, et al. Blood first line ready screening trial (B-F1RST) and blood first assay screening trial (BFAST) enable clinical development of novel blood-based biomarker assays for tumor mutational burden (TMB) and somatic mutations in 1L advanced or metastatic NSCLC. Ann Oncol 2017; 28 (suppl_5): mdx380.084.

9. Esagian SM, Grigoriadou GI, Nikas IP, et al. Comparison of liquid-based to tissue-based biopsy analysis by targeted next generation sequencing in advanced non-small cell lung cancer: a comprehensive systematic review. J Cancer Res Clin Oncol 2020 May.

10. Gobbini E, Galetta D, Tiseo M, et al. Molecular profiling in Italian patients with advanced non-small-cell lung cancer: an observational prospective study. Lung Cancer 2017; 111: 30-7.

11. Hanna N, Johnson D, Temis S, et al. Systemic therapy for stage IV non-small-cell lung cancer: American Society of clinical oncology clinical practice guideline update. J Clin Oncol 2017; 35: 3484-515.

12. Le Quesne J, Maurya M, Yancheva SG, et al. A comparison of immunohistochemical assays and FISH in detecting the ALK translocation in diagnostic histological and cytological lung tumor material. J Thorac Oncol 2014; 9: 769 -74.

13. Reck M, Rodríguez-Abreu D, Robinson AG, et al. Pembrolizumab versus chemotherapy for PD-L1-positive non-small-cell lung cancer. N Engl J Med 2016; 375: 1823-33.

14. Malapelle U, Sirera R, Jantus-Lewintre E, et al. Profile of the Roche cobas EGFR mutation test v2 for non small cell lung cancer. Expert Rev Mol Diagn 2017; 17: 209-15.

15. Lindeman NI, Cagle PT, Aisner DL, et al. Updated molecular testing guideline for the selection of lung cancer patients for treatment with targeted tyrosine kinase inhibitors:guideline from the College of American Pathologists,the International Association for the study of Lung Cancer. Arch Pathol Lab Med 2018; 142: 321-46.

16. Rolfo C, Mack PC, Scagliotti GV, et al. Liquid biopsy for advanced non-small cell lung cancer (NSCLC): a statement paper from the IASLC. J Thorac Oncol 2018; 13: 1248-68.

17. Zink F, Stacey SN, Norddahl GL, et al. Clonal hematopoiesis, with and without candidate driver mutations, is common in the eldery. Blood 2017; 130: 742-52.

18. Young AL, Challen GA, Birmann BM, et al. Clonal haematopoiesis harbouring AML-associated mutations is ubiquitous in healthy adults. Nat Commun 2016; 7: 12484.

19. De Mattos-Arruda L, Mayor R, Ng CK, et al. Cerebrospinal fluid-derived circulating tumour DNA better represents the genomic alterations of brain tumours than plasma. Nat Commun 2015; 6: 1-6.

20. Gondos A, Paz-Ares L, Saldana D, et al. Genomic testing among patients(pts) with newly diagnosed advanced non-small cell lung cancer (aNSCLC) in the US: a contemporary clinical practice patterns study. J Clin Oncol 2020; 38: (suppl;abstr9592).